Solución rápida y duradera

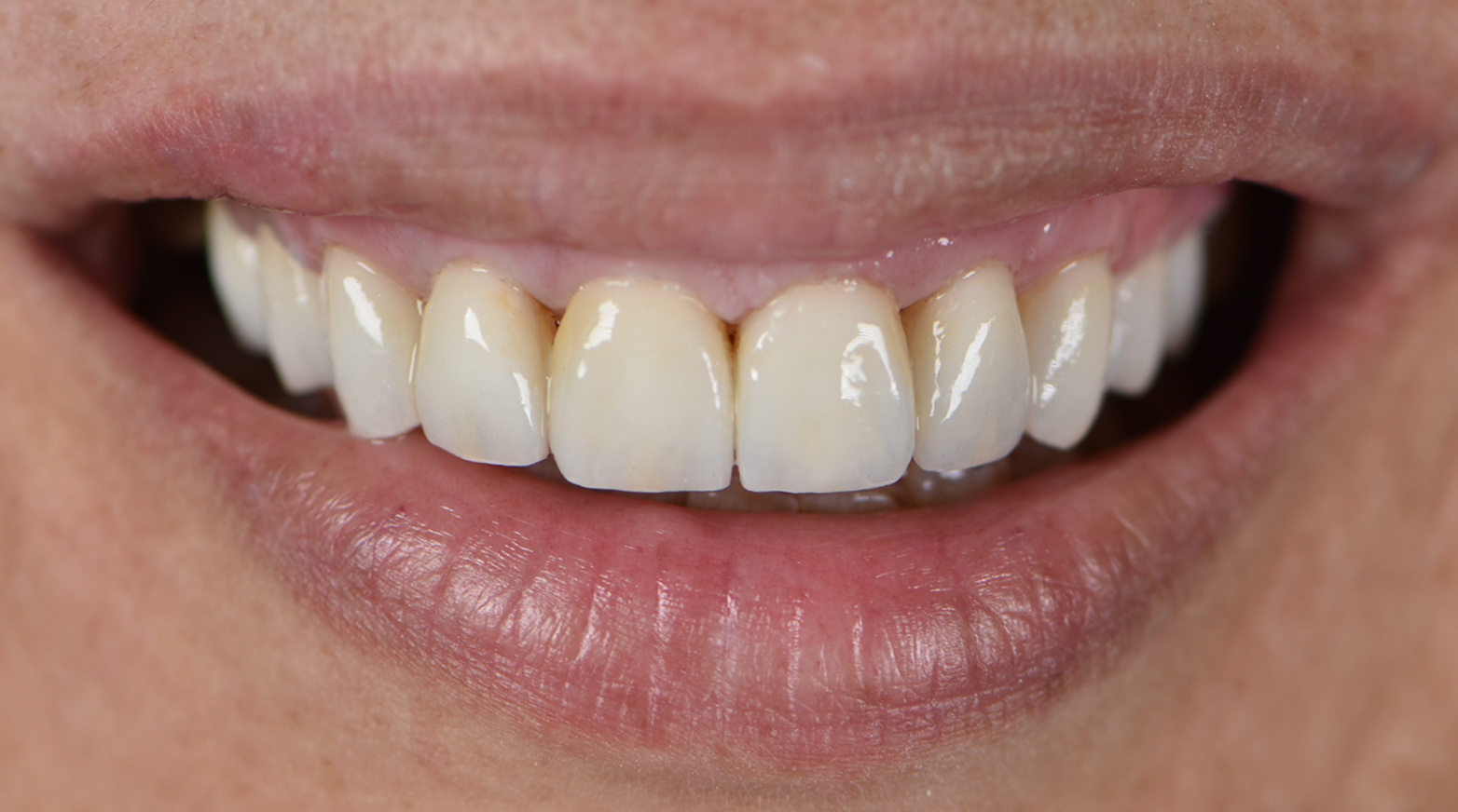
Las carillas o coronas dentales son un recurso estético increíble que brinda seguridad al paciente, permitiéndole sonreír con confianza. Consisten en finas láminas de porcelana o composite que se adhieren a la superficie frontal de los dientes, mejorando instantáneamente su apariencia.

Son ideales en el tratamiento de dientes manchados, malformados o desalineados, ofreciendo una solución rápida y duradera. Además de su función estética, las carillas y coronas también pueden fortalecer dientes debilitados, proporcionando una sonrisa más saludable y atractiva.

Transformaciones completas
de apariencia natural

Las carillas dentales son finas capas de material que se colocan sobre la parte frontal de los dientes para mejorar su apariencia estética. Se utilizan para corregir problemas como dientes desalineados, manchados, astillados o con espacios entre ellos. Existen varios tipos de carillas dentales, entre los que se incluyen:

  1. Carillas de porcelana: Estas son muy populares por su durabilidad y estética. Están hechas de cerámica y se personalizan para que se asemejen al color y la forma natural de los dientes.
  2. Carillas de resina compuesta: Están hechas de un material plástico que se adhiere directamente a los dientes. Son más económicas que las de porcelana, pero pueden ser menos duraderas y más susceptibles a manchas.
  3. Carillas de disilicato de litio: Un tipo más reciente de carilla de porcelana que ofrece una mayor resistencia y estética, ideal para dientes frontales.
  4. Carillas temporales: Se utilizan en casos donde se necesita esperar por las carillas permanentes. Están hechas generalmente de materiales más económicos y menos duraderos.

Sí, en la mayoría de los casos, las carillas dentales requieren algún grado de tallado o desgaste de los dientes naturales. Este procedimiento es necesario para que las carillas se adhieran correctamente y no se vean voluminosas sobre los dientes.

El tallado o desgaste suele ser mínimo, especialmente con carillas de porcelana, y un dentista experimentado se asegurará de que se conserve la mayor cantidad de estructura dental posible. Sin embargo, hay opciones de carillas, como las carillas de no-prep (sin tallar), que pueden colocarse sin necesidad de desgastar el diente natural, pero esto dependerá de cada caso individual.

La duración de las carillas dentales puede variar según el tipo de material utilizado, la higiene bucal del paciente y otros factores. Generalmente, se estima que pueden durar entre 10 y 15 años, e incluso más si se cuidan adecuadamente.  
La longevidad de las carillas también dependerá de factores como la dieta, los hábitos de cuidado dental (como el cepillado y el uso del hilo dental), y si el paciente tiende a rechinar los dientes o bruxar. Para maximizar la duración de las carillas, es recomendable mantener una buena higiene dental y realizar chequeos regulares

No. Las carillas no suelen mancharse pero pueden sufrir decoloración si no se cuidan adecuadamente.  Con el consumo de alimentos o bebidas oscuras o una higiene deficiente.

Una buena higiene y controles periódicos al odontólogo suele ser suficiente para mantener las carillas bien cuidadas.

El antes y después de nuestros pacientes

Foto antes
Foto después

Descubrí Clinica Creo